We provide high quality diagnostic, preventative and therapeutic care
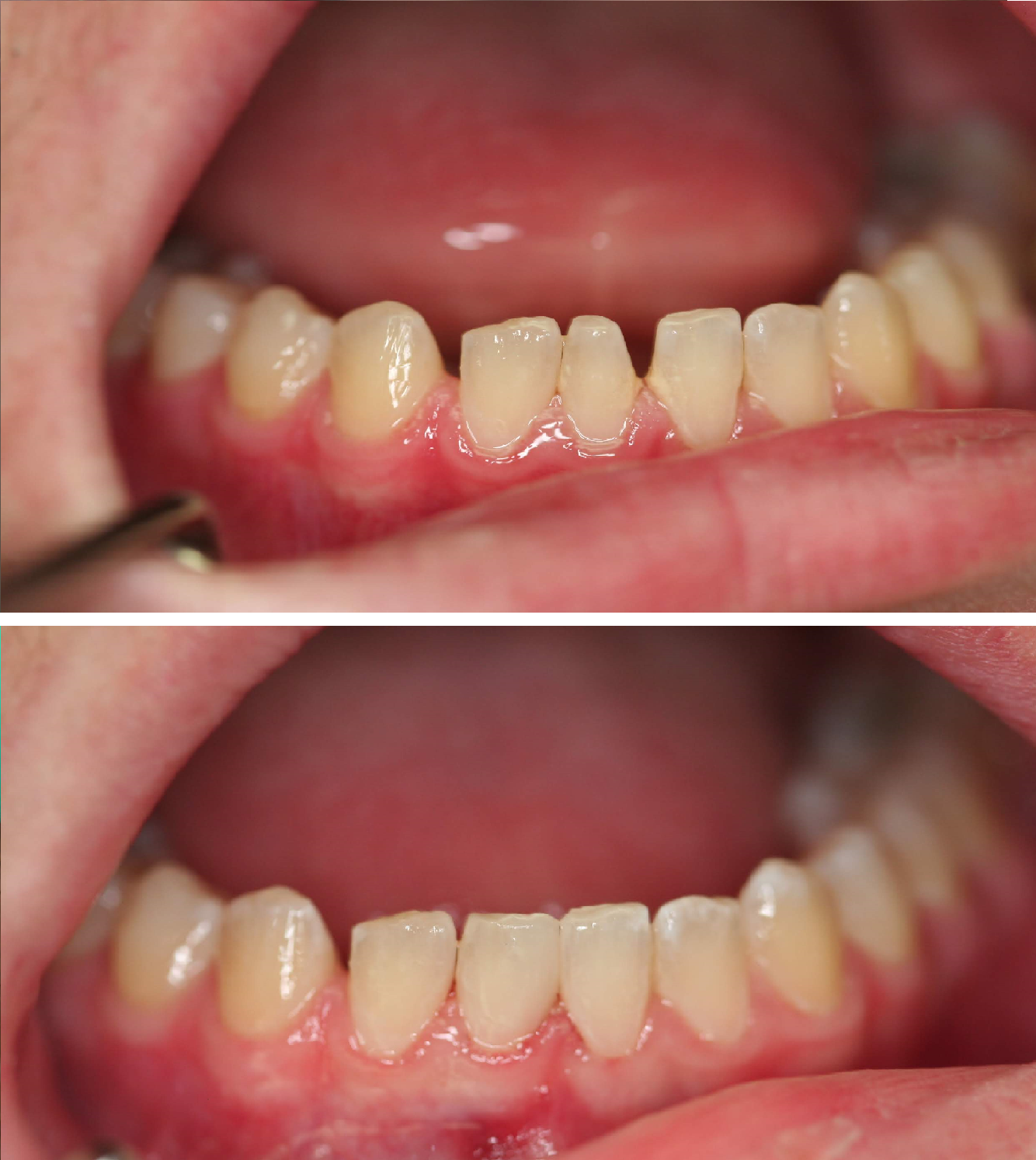
Exams and cleanings
- All dentistry performed with very high magnification (6.5x) and strong LED lighting
- High resolution digital x-rays accompany exams
- All exams check for TMJ, head and neck pathology, dental conditions such as decay, infections, wear, failing restorations, cracking teeth, NCCLs, periodontal health and occlusion (the bite)
- Both piezoelectric ultrasonic scaling and hand scaling used for prophy (cleanings) and scaling (deep cleanings)
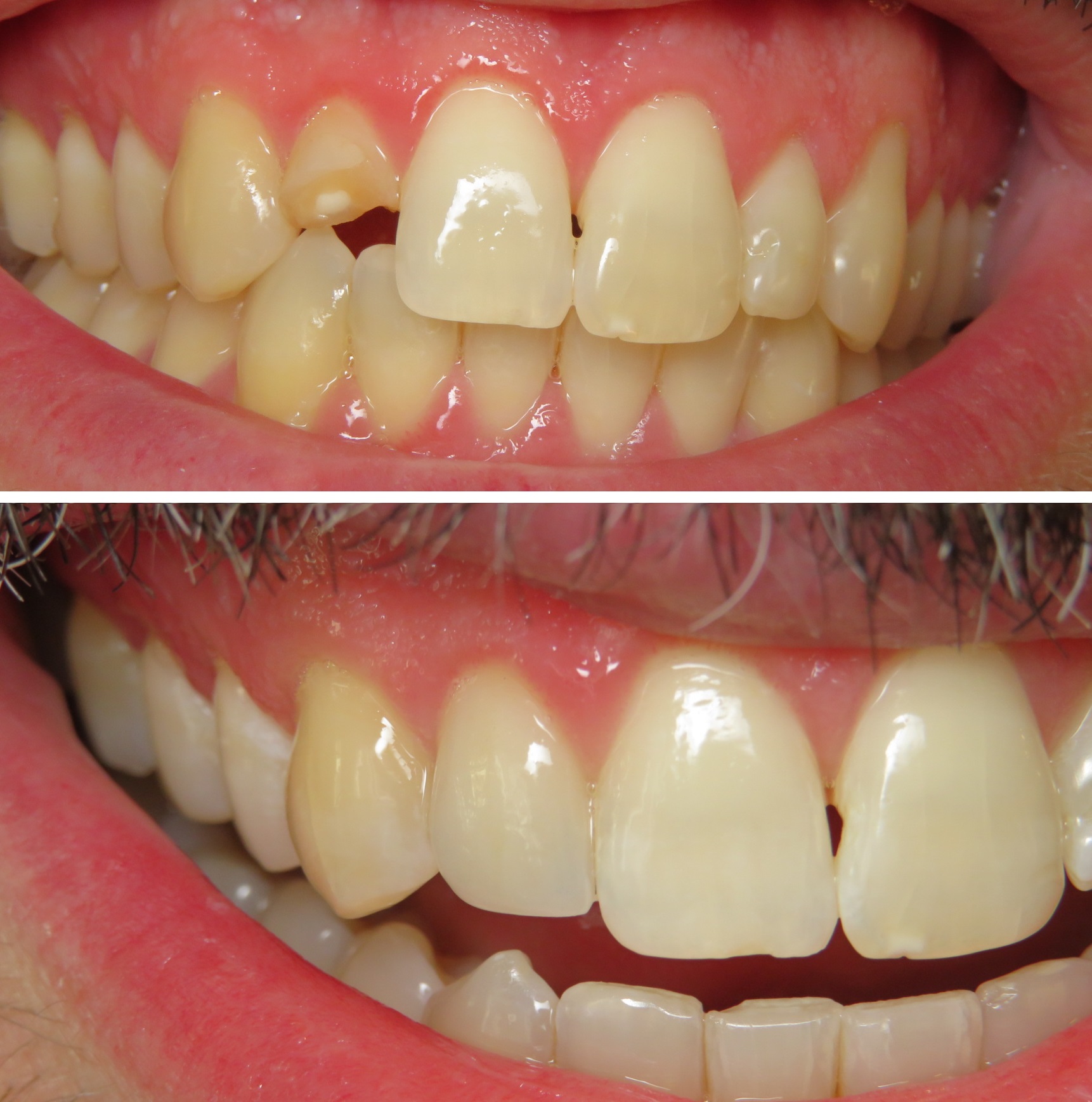
Crowns
- Digital impressions taken for the most accurate transfer and precise fit
- Double cord and hemostatic technique used for clear capture of margins
- Dryshield isolation used to prevent ingestion of any metals being removed and protect soft tissues and the TMJs
- Leading brand products used (Relyx RGMI and Premier Implant cements, Luxatemp temporary material, Temp Bond temporary cement)
- Microprime G and 2% chlorhexidine on crown preparations to reduce bacterial contamination and reduce irritation to pulp tissue
- Our crowns are milled in-house with high quality U.S.-made zirconia and a German-made 5-axis milling machine.
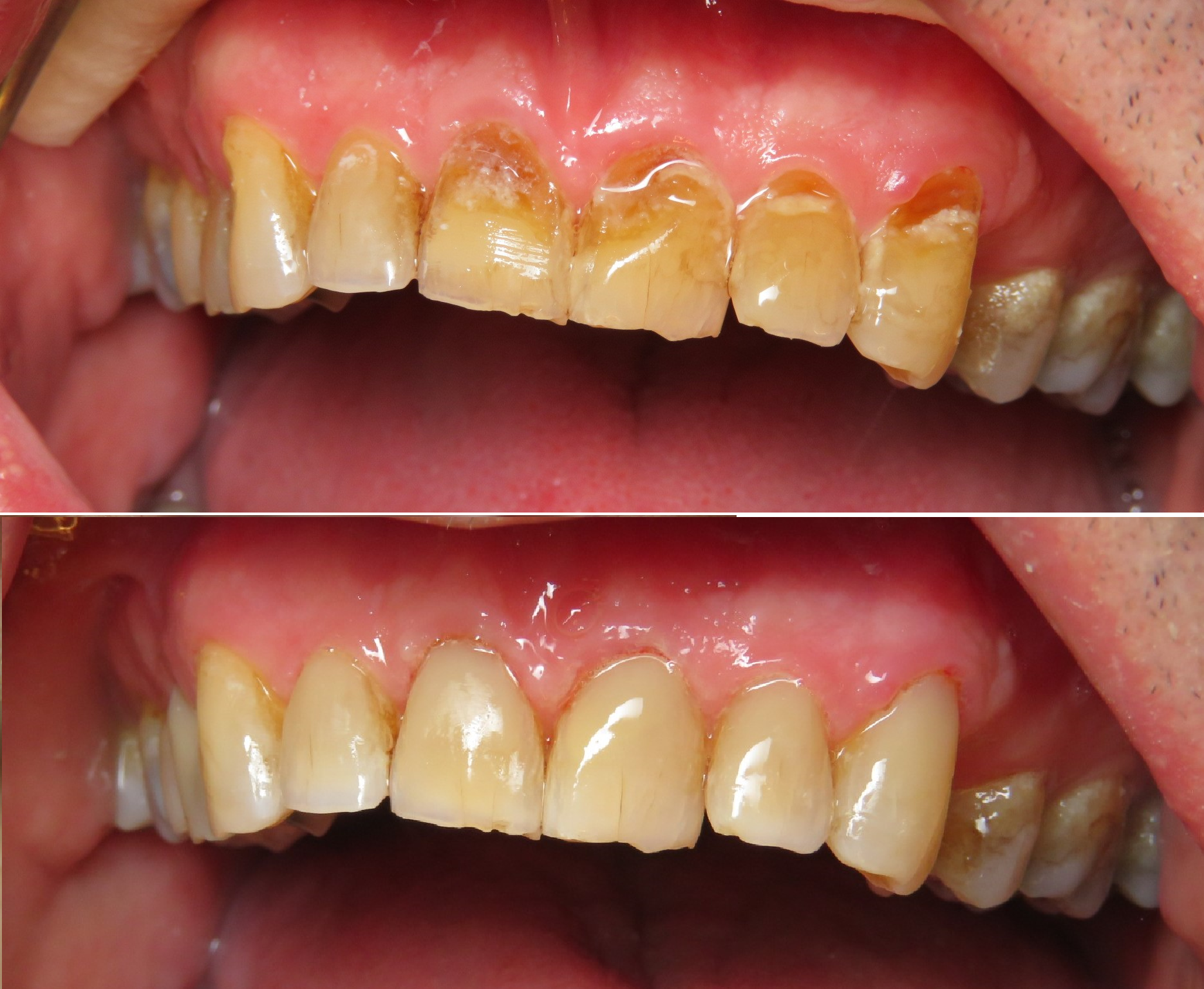
Composites
- Dryshield isolation used (proper isolation promotes longevity of the restoration and protects soft tissues)
- Microprime G (Gluteraldehyde and HEMA) on composite preparations to reduce post-operative sensitivity
- Glycerin cure on all composites to prevent staining
- Leading brand materials — Filtek Supreme Ultra composite, Shofu flowable and Scotchbond adhesive
Dentures
- High quality U.S. lab used
- Full denture protocol for traditional dentures: custom tray, PVS impression, bite records, wax try in, delivery and plenty of follow ups to ensure adaptation and transitioning
Extractions and Implants
- Leading brand (Straumann) implant and bone grafting materials used
- All OEM (original equipment manufacturer) parts used
Testimonials
“Dr Qamar’s practice is the best I have ever been to and I am very particular about dentists. I came to them after going to the same dentist for about 25 years and was very nervous to switch. I was immediately struck by Dr Qamar and her team’s attention to detail and their kind and patient approach. Dr Qamar explains everything she is doing and is meticulously thorough. I can’t recommend them highly enough.”
“I highly recommend Dr. Qamars practice to anyone seeking the very best dental care. She far exceeded my expectations with her professional but warm and respectful approach to me for my dental plan. Shes very informative about each procedure and answered any concerns I may have had. She has a unique modern office and together with her wonderful assistant and receptionist I love the friendly team effort and always have a great experience there.”
Phone: 413-842-5265
Address: 251 Main St, Dalton MA 01226
- Monday
- 7:30 am – 4:00 pm
- Tuesday
- 7:30 am – 4:00 pm
- Wednesday
- 7:00 am – 1:00 pm
- Thursday
- 7:30 am – 4:00 pm
- Friday
- Closed
- Saturday
- Closed
- Sunday
- Closed








